
Vitamine D heeft misschien een gunstig effect op een ernstig verloop van een COVID-19 besmetting
Leestijd: 5 minutenDe hele wereld is inmiddels alweer meer dan een jaar in de ban van het coronavirus COVID-19 en dit virus bepaalt ons dagelijkse doen en laten momenteel volledig. We blijven zoveel mogelijk thuis, reizen en vliegbewegingen tussen landen zijn ernstig beperkt of zelfs verboden en de meeste winkels zijn gesloten. Overal ter wereld wordt koortsachtig gewerkt om het virus uit te bannen. Vaccinatieprogramma’s zijn van start gegaan en de hoop is dat de pandemie langzaam richting verleden tijd zal verdwijnen.
Tekst gaat verder onder de video.
Naast het bestrijden van het virus wordt ook onderzoek gedaan naar het verschil in verloop van de ziekte bij mensen onderling. Waarom wordt de een ernstig ziek en gaat er soms zelfs aan dood en waarom heeft een ander slechts milde klachten en kan hij of zij eigenlijk normaal functioneren? Vanaf het begin van de pandemie is al duidelijk dat COVID-19 oudere mensen harder raakt dan jongere. In een aantal gevallen is er bij ouderen al wel sprake van ander onderliggend lijden, waardoor het immuunsysteem niet adequaat reageert op zo’n heftige indringer, maar dit is niet altijd het geval. Er zijn ook gezonde ouderen die door het virus flink getroffen worden. Opvallend is dat bij veel van deze ouderen de vitamine D-spiegel lager is dan gewenst.
Wat is vitamine D?
Vitamine D is een van de weinige vitamines die ons lichaam zelf aanmaakt. Hiervoor hebben we zonlicht (UVB-stralen) nodig. Dit zonlicht wordt via de huid omgezet naar vitamine D en via het bloed naar de lever en de nier getransporteerd. Hier wordt het weer omgezet in een actieve vorm die calciumopname (nodig voor sterke botten en tanden) uit de darmen stimuleert. Een goede hoeveelheid vitamine D in het bloed helpt ook mee bij de werking van de spieren en het draagt bij aan een goed immuunsysteem, nodig om infecties te bestrijden. Vitamine D maken we dus zelf met behulp van zonlicht, maar we krijgen het ook binnen via ons voedsel. Het is van nature aanwezig in vette vis, vlees, avocado en eieren en het wordt toegevoegd aan halvarine, margarine en aan bak- en braadproducten (niet aan olie).

Bij veel oudere mensen is de vitamine D-spiegel te laag. Volgens het Nederlands Huisartsengenootschap heeft 50% van de thuiswonende ouderen een te lage spiegel en bij bewoners van zorginstellingen is dit zelfs bijna 90%. Dit komt met name omdat ouderen veel minder buiten komen en een ouder wordende huid ook nog eens moeilijker in staat is UVB-stralen om te zetten.
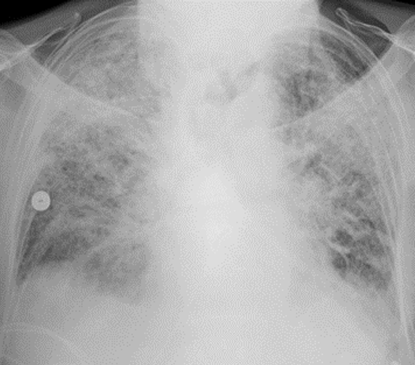
Een shocklong of ARDS
Gebleken is dat als patiënten ernstig ziek worden van COVID-19 dit meestal gebeurt in de tweede week van de besmetting. De koorts neemt progressief toe en vaak ontstaat een ernstige ontstekingsreactie in de longen die hyperinflammatoire shocklong of ARDS – acute respiratory distress syndrome -genoemd wordt. Hierbij treedt lekkage van de longblaasjes, waar de gaswisseling plaatsvindt, op waardoor de ademhaling ernstig bemoeilijkt wordt. Beademen wordt veelal noodzakelijk en organen kunnen uitvallen vanwege een tekort aan zuurstof.

De Cytokine-storm
Deze ernstige ontstekingsreactie in de longen ontstaat door een cytokine-storm. Cytokine is een eiwitmolecuul dat ontstekingsreacties in het lichaam reguleert. Er zijn zowel ontstekingsremmende als ontstekingsbevorderende cytokinen, die elkaar in evenwicht houden. Als dit evenwicht echter verstoord wordt, kunnen de ontstekingsbevorderende cytokinen ‘op hol slaan’ en leiden tot overmatige productie; de cytokine-storm. Uit onderzoek is nu gebleken dat een goede hoeveelheid vitamine D in het bloed het immuunsysteem stimuleert de balans in cytokinen te houden. Met te lage levels is het daartoe niet goed in staat.
Het is dan ook belangrijk om de vitamine D-spiegel op pijl te houden. Dit kan door voldoende te bewegen, dagelijks tussen 11 en 15 uur even met ontbloot hoofd en handen naar buiten te gaan, voldoende te eten waarin vitamine D aanwezig is en extra vitamine D te slikken. Het advies is om per dag tussen de 400 – 800 eenheden (10 - 20 microgram) te gebruiken. Hiermee wordt de spiegel bij de meesten van ons op het goede niveau gehouden. Van vitamine D krijg je niet snel te veel binnen, want wat we in ons lichaam niet gebruiken, slaan we op in onze vetreserves.