
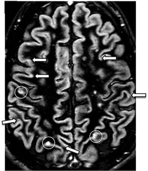
Multiple sclerose (MS)
Leestijd: 6 minutenIn Nederland zijn meer dan 35.000 mensen bij wie de diagnose Multiple sclerose oftewel MS, een chronische ziekte van het centrale zenuwstelstel (de hersenen en het ruggenmerg) is gesteld. Bij MS ontstaan er in het zenuwstelsel op verschillende plaatsen ontstekingen, waardoor signalen vanuit de hersenen via de zenuwen niet goed meer overgebracht worden. Hierdoor kunnen bepaalde functies niet of niet goed meer, worden uitgevoerd.
We staan er meestal niet bij stil dat alles wat we doen en wat er in ons lichaam gebeurt, of dit nu zien, bewegen of praten is, aangestuurd wordt vanuit onze hersenen en het ruggenmerg; het centrale zenuwstelsel. Dit stelsel bestaat uit miljoenen zenuwcellen die allemaal met elkaar verbonden zijn via zenuwuitlopers. Je kunt deze zenuwuitlopers vergelijken met een gigantisch netwerk van hele dunne kabels (vezels). En net als om normale kabels, denk bijvoorbeeld aan een oplaadkabel voor de telefoon, zit er een isolerende beschermlaag omheen. Deze laag wordt myeline genoemd.
Myeline is eigenlijk een wat vettige stof die wit van kleur is. Het heeft als taak ervoor te zorgen dat zenuwimpulsen razendsnel worden doorgestuurd van de ene naar de andere zenuwcel; dit gebeurt in een normale situatie met een snelheid van zo’n 120 meter per seconde. Ook zorgt het ervoor dat een elektrisch signaal niet per ongeluk ‘overspringt’ naar een zenuwcel met een andere functie, waardoor kortsluiting zou kunnen ontstaan.
Bij Multiple sclerose wordt deze myelinelaag aangetast. Dit gebeurt door het eigen afweersysteem dat de zenuwcellen aanvalt. MS wordt daarom ook een auto-immuunziekte genoemd. In de myelinelaag ontstaan gaten wat demyelinisatie wordt genoemd. Hierdoor wordt de overdracht van signalen bemoeilijkt en uiteindelijk soms zelfs helemaal niet meer mogelijk. Het lichaam vult de ontstane gaten op met bindweefsel (het kan geen nieuw myeline meer aanmaken), waardoor er littekens ontstaan die niet meer isoleren. Dit littekenweefsel is hard en daaraan dankt de ziekte haar naam: Multiple sclerose betekent letterlijk meerdere verhardingen.

Varianten van MS
Als we het hebben over Multiple sclerose als ziekte dan lijkt het net alsof er maar één vorm van bestaat, maar dat is niet juist; er zijn vier verschillende varianten te onderscheiden:
- Relapsing Remitting MS (RRMS)
- Secundair Progressieve MS (SPMS)
- Benigne MS
- Primair Progressieve MS (PPMS)
Soms lopen deze vormen in elkaar over, wat vooral voorkomt bij de eerste (RRMS) en de tweede (SPMS) variant. Daardoor is niet altijd een heel duidelijk onderscheid te maken. Toch kunnen we wel uitleg geven over de verschillende varianten.
Relapsing Remitting MS (RRMS)
Deze vorm van MS, waarbij van tijd tot tijd actieve ontstekingsreacties genaamd schubs (spreek uit sjoeps) optreden, is de vorm van MS die het meeste voorkomt. 85 procent van alle MS-patiënten in Nederland heeft deze vorm. Afhankelijk van waar in het centrale zenuwstelsel de ontstekingen optreden, zijn de klachten verschillend. RRMS kenmerkt zich door periodes met aanvallen (relapsing) die afgewisseld worden met periodes van herstel (remitting). Soms ontstaat een schub zonder duidelijke oorzaak, maar soms gaat er ook een infectie of een stressvolle periode aan vooraf. Als behandeling worden veelal medicijnen met steroïden voorgeschreven die een aanval kunnen verkorten. De medicijnen genezen de MS niet.

Secundair Progressieve MS (SPMS)
Bij een aanzienlijk aantal mensen met RRMS (ongeveer 30 procent) gaat deze vorm na een tiental jaar over in Secundair Progressieve MS. De aanvallen stoppen dan (vaak) helemaal, maar de lichaamsfuncties gaan nog wel langzaam verder achteruit. Dit blijkt een niet te stoppen proces omdat er geen herstelfases meer zijn.
Benigne MS
Benigne MS wordt ook wel een milde vorm van MS genoemd. De tijd die er tussen de aanvallen ligt, is lang, soms wel tien jaar en sommigen krijgen in hun hele leven maar één aanval. Meestal blijven de zenuwcellen onbeschadigd. Deze vorm van MS komt het meest voor bij jonge vrouwen (onder de veertig jaar).
Primaire Progressieve MS (PPMS)
PPMS is de vorm van MS die het minst voorkomt; slechts vijf procent van alle MS-patiënten heeft deze variant. Door een directe aantasting van het ruggenmerg, is vanaf het ontstaan van de ziekte direct achteruitgang merkbaar. De klachten beginnen bij de benen die verstijven en waarin krachtsverlies optreedt. Deze MS-variant ontstaat meestal tussen het dertigste en veertigste levensjaar.
De behandeling van MS
MS is helaas een chronische aandoening waarvan je niet kunt genezen. Er zijn inmiddels wel een aantal medicijnen die de ziekte wat kunnen remmen en die de kans op een nieuwe aanval wat verminderen door het afweersysteem te onderdrukken. Andere medicijnen zijn gericht op symptoombestrijding. Een deel van de medicijnen kan via een tablet gegeven worden. Andere worden toegediend in de vorm van injecties of een infuus, waarvoor iemand naar het ziekenhuis moet komen.
Heb je vragen over medicijnen die gebruikt worden bij Multiple sclerose, neem dan contact op met je apotheker. Die vertelt je er graag meer over.