
Mycoplasma Pneumoniae Bacterie
Leestijd: 5 minutenIn de laatste weken van 2023 dwarrelen in ons land diverse bacteriën en virussen weer flink in het rond. De meeste kinderafdelingen in de ziekenhuizen liggen vol met kinderen met het RS-virus en ook stijgt het aantal opnames met mensen die besmet zijn met het coronavirus opnieuw hard. Tel daarbij het influenzavirus (griepvirus) dat ieder jaar in een nieuwe variant opduikt en het aantal hoestende en proestende mensen is niet meer te tellen.
En dit jaar steekt er nog een andere ziekmaker de kop op: de mycoplasma pneumoniae. Geen virus dit keer, maar een bacterie en een variant (type) van de pneumokok; de streptococcus pneumoniae. Deze pneumokok wordt in de volksmond tegenwoordig ook wel superbacterie oftewel superbug genoemd. De mycoplasma pneumoniae komt in Nederland gemiddeld om de zes à zeven jaar terug en is zeer hardnekkig. Hij veroorzaakt een wekenlange niet productieve (zonder slijm) pijnlijke hoest. Opvallend is dat het vooral kinderen en jong volwassenen zijn die er het meeste last van hebben.
Zeer besmettelijk
De mycoplasma pneumoniae is erg besmettelijk en een besmetting vindt, net als bij virussen als het coronavirus, voornamelijk plaats via druppeloverdracht. Dit kan door druppeltjes in de lucht, maar ook via voorwerpen, als deurklinken, trapleuningen, winkelwagentjes en toetsenborden. De druppeltjes komen op deze manier op handen terecht en worden vervolgens ingeademd. Net als bij corona kunnen veelvuldig handen wassen en desinfecteren helpen om een besmetting te proberen te voorkomen.
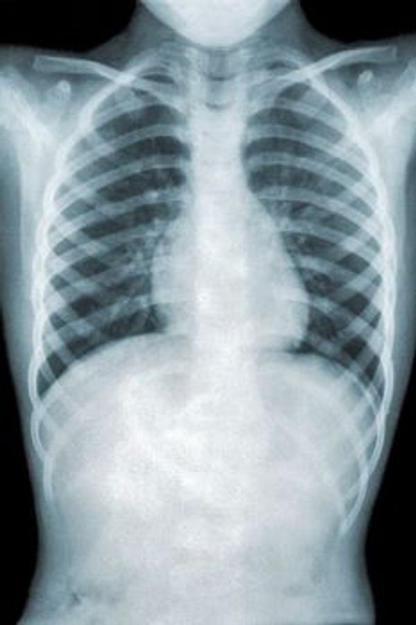
Over het algemeen veroorzaakt de mycoplasma pneumoniae een mild verlopend griepachtig beeld, met veel hoesten en een lichte malaise. Meestal heeft iemand geen koorts, maar soms treden er wel spier- en hoofdpijn op. De verschijnselen ontstaan in de meeste gevallen geleidelijk in meerdere dagen tot een week. Dit in tegenstelling tot bijvoorbeeld influenza (griep) waarvan de verschijnselen vaak heel acuut optreden. De incubatietijd kan variëren van één tot drie weken. Soms verloopt de infectie echter ernstig en ontwikkelt deze zich tot een longontsteking met langdurige hoest. Deze longontsteking wordt ook wel een atypische longontsteking genoemd, wat zoveel wil zeggen als dat de uitingsvorm ervan afwijkt van een ‘normale’ longontsteking. Daarnaast kun je, als je besmet bent geweest met deze bacterie, op een later tijdstip opnieuw een infectie ermee doormaken.

Wat bijzonder is, is dat de bacterie een soort gifstof produceert. Hij lijkt hiermee wel wat op de kinkhoestbacterie die dit ook doet. Deze gifstof veroorzaakt flinke schade, die gelukkig tijdelijk van aard is, aan de binnenbekleding van de luchtpijp en dit veroorzaakt dan weer het langdurige pijnlijke hoesten.
De behandeling
In de meeste gevallen geneest een luchtweginfectie, veroorzaakt door de mycoplasma pneumoniae bacterie, vanzelf, alhoewel dit wel enige tijd kan duren, soms zelfs wel een aantal weken. Is het hoesten langdurig heel hevig en/of treedt er kortademigheid op dan kan, naast een puffer, een antibioticum door de huisarts worden voorgeschreven. Meestal is dit amoxicilline. Amoxicilline is een antibioticum dat behoort tot de penicillines en het is een van de oudste antibiotica die wordt gebruikt. Het doodt bacteriën door de celwand van een bacterie af te breken. Die gaat hierdoor kapot en zo kan een bacterie zich vervolgens niet meer delen. Amoxicilline wordt ook wel een breedspectrum-antibioticum genoemd omdat het inzetbaar is tegen veel verschillende soorten bacteriën. Het is alleen op recept bij de apotheek verkrijgbaar.

Helaas reageren niet alle bacteriën even effectief op amoxicilline, met name de mycoplasma pneumoniae wil nog wel eens resistent blijken voor een behandeling ermee. Dit komt omdat amoxicilline de celwand van een bacterie afbreekt en een mycoplasma pneumoniae bacterie geen echte celwand heeft. Hij heeft alleen een zacht vlies, een soort membraan, waardoor hij gemakkelijk van vorm kan veranderen en zich zo kan aanpassen aan een veranderende omgeving.
Tot slot
Als je last hebt van een droge, pijnlijke hoest die maar niet overgaat, neem dan contact op met je huisarts om uit te zoeken wat de oorzaak van je klacht kan zijn. Heb je vragen over medicijnen of over amoxicilline in het bijzonder, stel deze dan aan je apotheker.