
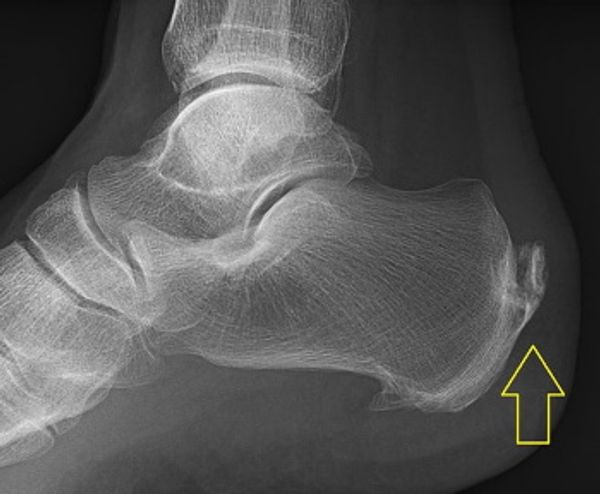
Hielspoor
Leestijd: 5 minutenHet is een pijnlijke aandoening, waar relatief veel mensen tussen de 40 en de 60 jaar last van hebben; we hebben het hier over hielspoor, over pijn onder het bot van de hiel bij het staan en lopen. De pijn lijkt op pijn die gevoeld wordt als je een steentje in je schoen hebt. Eigenlijk is hielspoor als naam voor een aandoening niet helemaal juist. Een hielspoor is namelijk een extra stukje bot of verkalking bij de aanhechting van de hielpees aan het hielbeen (het calcaneus). Uit onderzoek blijkt dat 75% van alle volwassenen zo’n extra stukje bot, dat ook spina calcaneï wordt genoemd, heeft en dat dit lang niet altijd tot klachten leidt. Waarschijnlijk ontstaan de pijnklachten door het langdurig drukken van dit botje op de pees in de hiel, die hierdoor kan gaan ontsteken. Voel je pijn aan de zijkant van de hiel, dan hebben de klachten niets met hielspoor te maken; dan is er iets anders met de voet aan de hand.
Tekst gaat verder onder de video
Mensen met hielspoor ervaren direct na het opstaan de meeste pijn. Dit komt omdat de aanhechting van de hielpeesplaat, een pees die onder de voet loopt van de tenen tot de hak, na een nacht niet bewegen, stijf is geworden. Een korte massage van deze pees doet vaak de ergste pijn wat afnemen, maar de pijn zal niet helemaal verdwijnen en ‘zeurderig’ aanwezig blijven. In de loop van de dag nemen de pijnklachten ook weer toe. Langdurig staan en lopen verergeren de klachten snel.

Hielspoor, een overbelastingsblessure
Hielspoor valt in de categorie van de overbelastingsblessures. Het lopen op harde vloeren, het dragen van slechte schoenen of stevig sporten, worden genoemd als oorzaken ervan. Apart is dat hielspoor zo’n twintig jaar geleden veel minder voorkwam dan nu. Het vermoeden bestaat dat steeds comfortabelere schoenen in combinatie met doorgezakte of spreidvoeten de boosdoener zijn voor het steeds vaker voorkomen van de klacht. Waarschijnlijk hoeven voeten in comfortabele schoenen maar weinig te doen. Hierdoor vindt er te weinig doorbloeding plaats.
Ook is de toename van het beoefenen van sporten als hardlopen en tennis en het gebruik hierbij van sportschoenen en schoenen met relatief zachte zolen aan te wijzen als een oorzaak van het vaker voorkomen van hielspoor. Ook krijgen vrouwen die vaak op hoge hakken lopen en in de zomer ineens op slippers gaan lopen, vaker hielspoor. Dit komt omdat de kuitspier verkort is door het lopen op hakken en ineens onder voortdurende spanning komt te staan. Sommige mensen krijgen hielspoor vanwege het zogenoemde fat pad syndroom. Hierbij is een versleten vetkussen onder de hak de oorzaak.
Hoe behandel je hielspoor?
De behandeling van hielspoor is gelukkig niet heel erg ingewikkeld, maar het is vaak wel een kwestie van een lange adem. Het kan wel drie tot negen maanden duren voordat de klachten verdwenen zijn. Om te beginnen kunnen de pijnklachten afnemen door een goede pijnbestrijding. Paracetamol is meestal effectief genoeg, maar soms helpt een NSAID pijnstiller - een ontstekingsremmer – als ibuprofen of naproxen beter.
Rust nemen bij hielspoor werkt averechts. Door rust wordt de aanhechting van de peesplaat alleen maar minder flexibel. Blijven bewegen is dus een must, want het is belangrijk om de peesplaat zo soepel mogelijk te houden. Hoe soepeler de pees, ho minder klachten. Er zijn oefeningen die je zelf kunt doen om de pees soepel te maken.
Zo kun je een tennisbal onder je hiel heen en weer rollen: op deze manier masseert de bal de pees bij de aanhechting ervan, waardoor de doorbloeding toeneemt. Ook kun je druk zetten op de pees door tegen een muur te leunen, iets door de knieën te buigen en de voet met de hielspoor naar achter te zetten en plat op de grond te drukken. Met je blote voeten een strandwandeling maken is het meest effectief om de klachten te bestrijden. Dit zorgt namelijk voor een optimale doorbloeding van de voet. Helpen deze oefeningen niet om de klachten te verminderen, dan is een bezoek aan de fysiotherapeut verstandig.

Om hielspoor te voorkomen, is het slim om altijd goede schoenen te dragen , die zorgen oor voldoende demping. Houd de voeten zoveel mogelijk fit en flexibel en zorg ervoor dat er niet te veel belasting op de voeten komt door een pondje te veel.